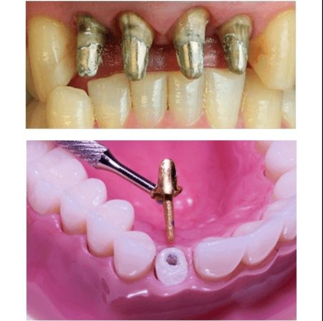
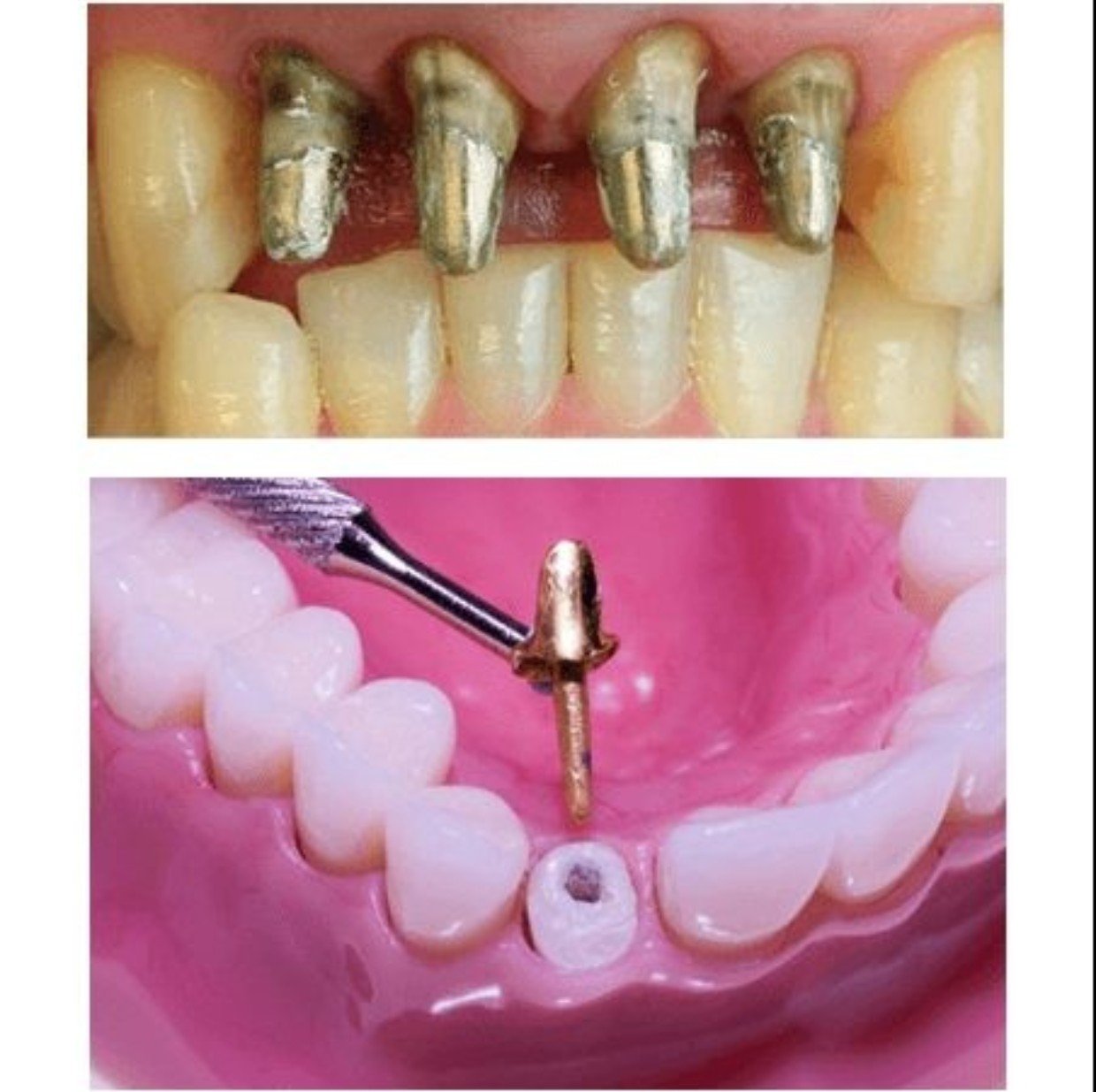
1. Thân răng giả (cùi răng giả) là gì?
Để bọc răng sứ bác sĩ bắt buộc phải mài răng thật để làm cùi. Sau đó, gắn mão sứ bên ngoài và kết thúc quá trình bọc sứ. Tuy nhiên trong một số trường hợp như: Răng đã điều trị tủy răng nhiều lần, răng bị sâu nặng, men răng bị hư tổn quá nhiều không thể mài cùi răng vì không đủ men răng, thì bác sĩ sẽ tiến hành gắn cùi răng sứ giả.
Tóm lại, cùi răng sứ giả là một dạng mô phỏng của cùi răng thật. Mục đích để răng cứng chắc hơn, tạo trụ đỡ cho mão sứ gắn bên ngoài. Cùi răng sứ giả có thể được làm từ nhiều chất liệu và kích cỡ khác nhau tùy thuộc vào tình trạng răng của mỗi người.

2. Thân răng giả có những loại nào?
2.1 Thân răng giả kim loại
Cùi giả kim loại có cấu tạo gồm hai lớp: khung sườn được làm từ hợp kim Cr – Cb, Cr – Ni hoặc Titan và vỏ sứ Ceramco III. Cùi răng giả kim loại mang lại nhiều ưu điểm như:
· Chi phí thấp
· Khả năng chịu lực ăn nhai cao
· Độ cứng chắc gấp 1 đến 2 lần răng thật
· Tuổi thọ trung bình khoảng 5 đến 10 năm
Tuy có độ cứng chắc cao và chi phí khá thấp, song cùi răng kim loại vẫn còn nhiều hạn chế. Chẳng hạn như về màu sắc của răng. Bởi do được làm từ kim loại, nên sau một thời gian sử dụng sẽ bị oxy hóa. Gây ra hiện tượng đen viền nướu kém thẩm mỹ.

2.2 Thân răng giả toàn sứ
Khác với cùi răng sứ kim loại, cùi giả toàn sứ được cấu tạo từ 100% phôi sứ nguyên chất. Đây là lựa chọn tối ưu dành cho khách hàng muốn chụp răng sứ thẩm mỹ nhưng cấu trúc răng chưa được đảm bảo. Cùi răng giả toàn sứ mang lại nhiều ưu điểm như:
· Có khả năng thích ứng với môi trường khoang miệng rất tốt vì làm từ sứ 100%.
· Không gây kích ứng, đảm bảo an toàn cho khách hàng sử dụng.
· Cùi giả toàn sứ đạt tính thẩm mỹ rất cao, không đen viền nướu khi sử dụng.
· Độ lệch màu răng thật gần như không có.
· Khả năng dẫn nhiệt tốt, không gây ê buốt khi ăn uống.
· Tuổi thọ sử dụng lên đến 20 năm nếu chăm sóc tốt.
Về chi phí, cùi răng giả toàn sứ sẽ cao hơn cùi răng giả kim loại. Khách hàng có thể dựa vào nhu cầu và điều kiện kinh tế để có lựa chọn phù hợp.

3. Ưu điểm khi làm thân răng giả cho răng.
Gắn cùi răng sứ giả cho răng là giải pháp tiện lợi để phục hình khuyết điểm răng trong các trường hợp đặc biệt. Chỉ cần phủ mão sứ lên trên cùi, sau đó đóng chặt vào chân răng là bạn đã sở hữu một chiếc răng sứ hoàn chỉnh.
- Là giải pháp tốt nhất dành cho những trường hợp men răng bị hư tổn quá nhiều, đã điều trị tủy, răng thật không thể mài nhỏ để làm cùi răng sứ.
- Thực hiện dễ dàng, không có phức tạp. Chỉ cần tạo cùi, rồi lắp mão sứ lên là đã có răng sứ hoàn chỉnh.
- Hạn chế tình trạng tiêu xương vì không phải nhổ răng, ngăn ngừa bệnh lý hiệu quả, không ảnh hưởng đến sức khỏe răng miệng.
- Không xâm lấn hay ảnh hưởng đến các răng bên cạnh.
Chu đáo với khách hàng
Chế độ bảo hành lâu dài
Đội ngũ bác sĩ chuyên nghiệp
Hạn chế đau ê
Dịch vụ chất lượng cao
Trang thiết bị hiện đại